40 771 732 913
Program: L-V 09:00-19:00
Adresa: Strada Zimbrului 17, 700071 Iași, Iași,România

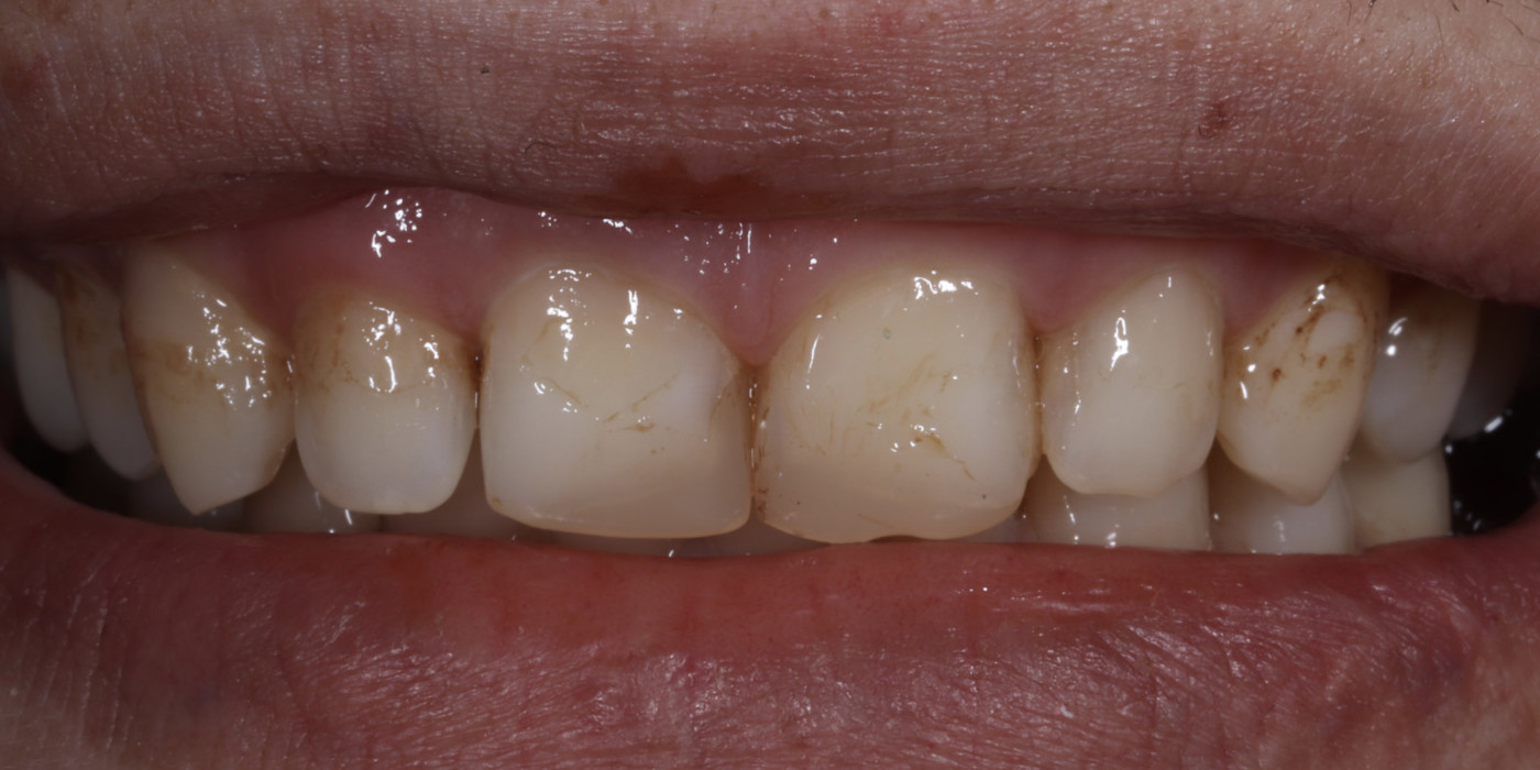
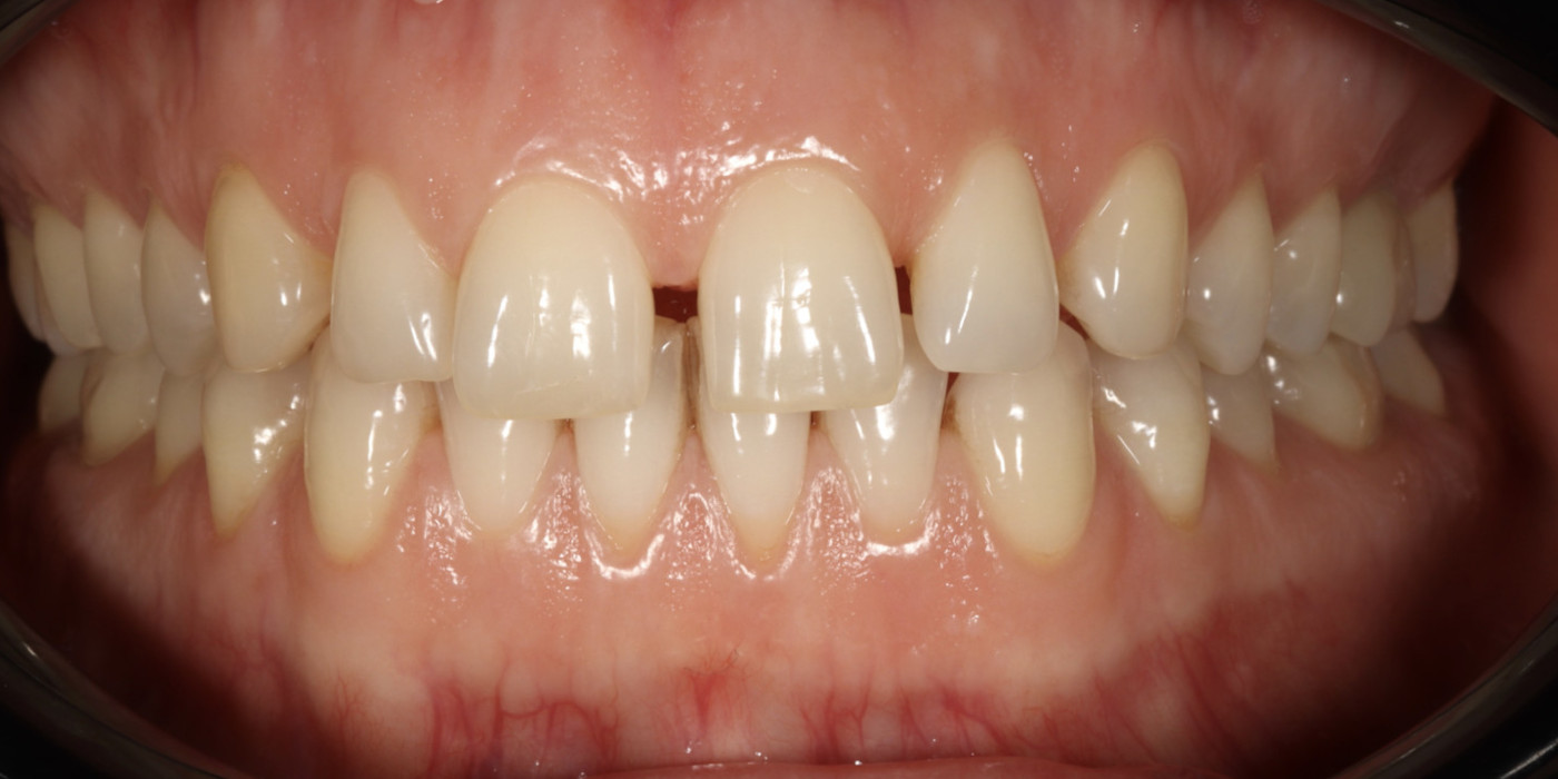
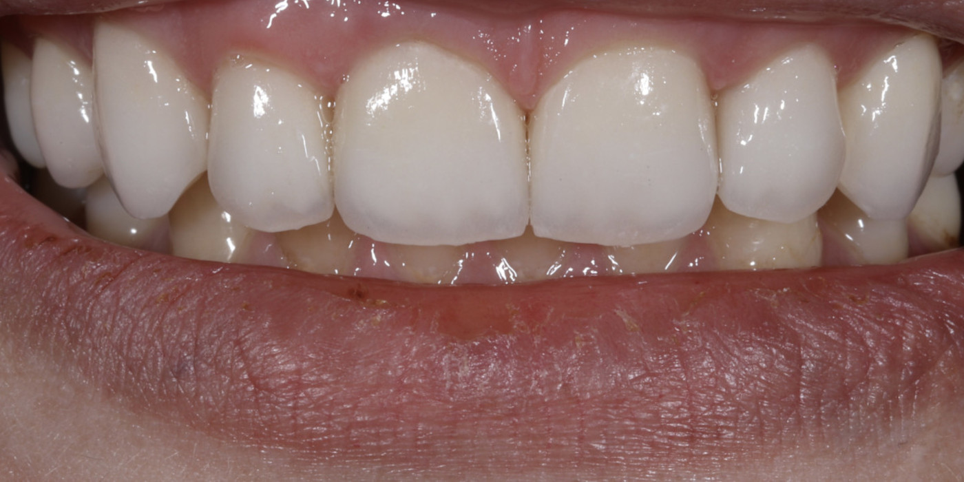
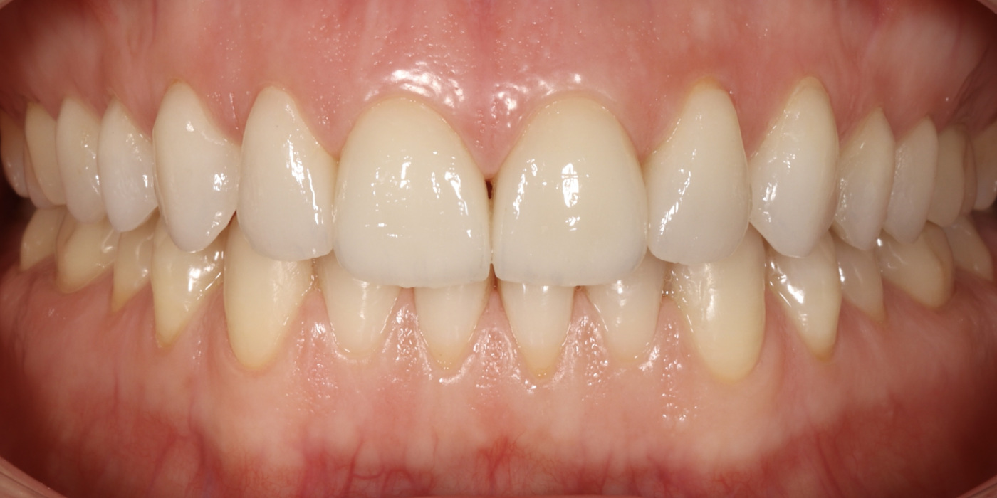
Tratăm cazuri complexe. Salvăm dinți care par pierduți.

La Clinica Brânzan, fiecare decizie pornește de la ideea că dinții naturali sunt de neînlocuit. Folosim expertiza Dr. Răzvan Brânzan și tehnici moderne pentru rezultate durabile.

Simți că ceva nu e în regulă?

Trebuie doar să faci primul pas. Cu cât vii mai repede, cu atât e mai ușor de tratat.

Viziunea unui doctor dedicat restaurării

Pentru Dr. Răzvan Brânzan, fiecare tratament începe cu o explicație clară și o soluție realistă.

Specializat în endodonție și restaurări, predă la UMF Iași și organizează cursuri pentru medici, combinând experiența clinică cu pasiunea pentru educație.

Dr. Răzvan Brânzan - Medic stomatolog specializat în endodonție

Fă cunoștință cu echipa

Dentist teaching workshop with medical professionals

Dental Education Concept

O platformă unde medicii învață de la medici

Am fondat Dental Education Concept în 2016 pentru a duce stomatologia de mâine mai aproape de prezent, împărtășind tehnici moderne clinice și restaurative cu colegii medici, într-o abordare practică.

Salvează un dinte azi ca să eviți un implant mâine.